Howie/Jersey Litter
"Howie" CH. Harbormyst's Beach Boy ML (BISS CH. Sleepytime's Juibilation ML x CH. Sleepytime's Regardless ML)
"Jersey" (Click on Jersey's name to go to her page) CH. Kaycees Jt's Too Tough To Tame At Galewinns (CH. Wagsmore Low & Beehold x CH. Kaycees Galewinns All Revved Up MLD)
My next dachshund breeding will be Jersey (CH. Kaycees JT's Too Tough To Tame at Galewinns) bred to "Howie" CH. Harbormyst's Beach Boy ML. This will be a repeat breeding as I did this breeding and had a singleton puppy, Miss Caper (Galewinns Kaycees Partners In Crime ML). I absolutely LOVE her and am so pleased with her temperament and conformation that I am going to repeat the breeding in hopes of getting a bigger litter. Jersey should be coming into season sometime in September/October 2013. Inquiries for show and pet homes welcome.
Oct. 25, 2013 - Jersey is in season!!
Nov. 4-7, 2013 - Jersey is bred. If she is pregnant puppies will be due Jan 4-6th. Keep your fingers crossed....
Dec. 11, 2013 - I didn't have time to ultrasound Jersey due to my work schedule. However, I did listen to her with my doppler last night and I definately heard puppy heartbeats!!! So YES...she is pregnant. I will do an xray the beginning of January to get a definite count. She is due the 4-6th of January. Also of note, her aunt Sasha was bred at the same time...and she is pregnant with 4-5 puppies. So...Sherry will have Sasha's litter and I will have Jersey's litter. So excited...
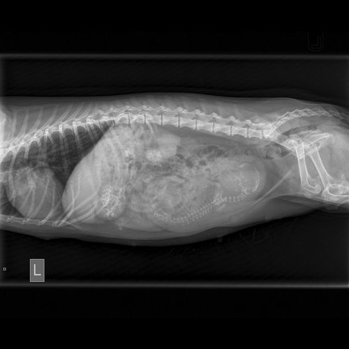
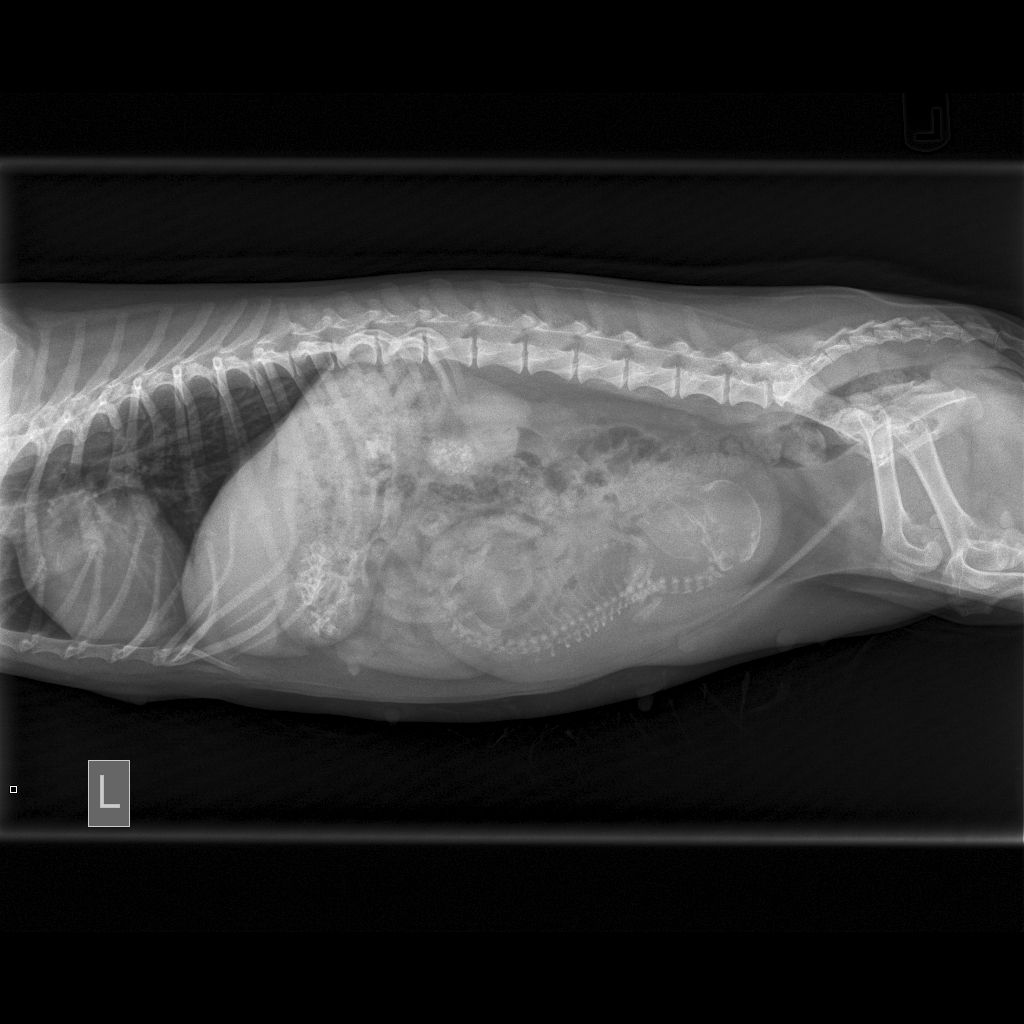
Jan. 4th, 2014 - Well, I xrayed Jersey today....only 1 puppy again! Yes, I am bummed but when I think about how special Miss Caper is out of Jersey's first litter I can't be upset - just optimistic that this puppy will be every bit as nice with the same "too-die-for" temperament. Stay tuned...
Jan. 7th, 2014 - Well...after 12 hours of labor and 5 hours of pushing (seriously!) we have a darling 6 oz silver dapple little girl! She is beautiful and came out screaming so the long labor didn't seem to bother her at all. And...Jersey did it with NO c-section so I was thrilled. Tired but thrilled. lol Stay tuned for pictures...mom and baby are doing great!
Jan 10th, 2014 - Sasha developed a little bit of mastitis so we brought one of her babies to my house for my Jersey to take care of. This way I also don't have to raise a singleton - my little girl will have a brother! Jersey has taken him under her care with no problem - he is gaining weight nicely. The two puppies are so darn cute together!
Jan 15th, 2014 - Both puppies are doing great - gaining weight nicely. They are starting to get around more - they easily find mom and the milk now. Jersey is such a protective mother - hard to get her to leave the puppies at all!!
Feb. 18th, 2014 - Puppies are doing great- 6 weeks old already! Very active and playing with each other and they love toys! Sorry I haven't posted in a bit - I have been gone on vacation and went to Westminster Dog show. And guess what - our dog Rascal (CH. Kaycees Galewinns Starburst At Wagsmore MLD) won the breed and was on TV!!! How cool was that - and I am so glad I was there to see it in person. Rascal is a half-brother to the little boy and a cousin to the girl (confusing I know!).
Howie/Jersey Puppies
BISS. CH. Sleepytime's Jubilation ML | |||
CH. Sleepytime's Silver Spangle ML | CH. Packer's Silver Smith ML | ||
CH. Sleepytime's Merci Glenavan ML ROMX | |||
CH. Sleepytime's Regardless ML | CH. Sleepytime's Figure of Speech ML | ||
CH. Sleepytime's Locket ML | |||
CH. Sleepytime's Free Spirit ML | |||
CH. Sleepytime's Merci Glenavan ML ROMX | |||
CH. Wagsmore's Snapdragon ML | |||
Howie/Jersey Breeding #1
Howie/Jersey #1 Breeding 3/23/13
Puppy is 18 days old here and look how big she is. Her eyes are open and she is trying to get up on her feet and get around. She is soooo cute - it is hard to leave her to go to work!
My husband, Lenard, playing with her. He thinks that this one puppy in a litter thing is the way to go!! :)













